Opération hallux valgus et chirurgie du pied : que faire après une erreur médicale ?
L'intervention chirurgicale de l'hallux valgus, visant à corriger les déformations du gros orteil, constitue une procédure complexe nécessitant une expertise médicale approfondie. Les étapes incluent l'ostéotomie, la correction de l'angle métatarsophalangien et éventuellement, la fixation par vis. Le processus de récupération implique souvent l'immobilisation temporaire du pied.
Cependant, chaque cas étant unique, une évaluation précise des antécédents médicaux de la personne à opérer est indispensable pour déterminer la meilleure approche chirurgicale, minimisant ainsi le risque postopératoire et favorisant une récupération optimale conformément aux normes légales et techniques éthiques en vigueur.
En cas d'erreur médicale, une première consultation avocat du droit de la santé comme MAITRE HUMBERT au cabinet d'avocats LEXVOX vous sera d'une aide précieuse !
Hallux valgus : définition, causes et conséquences
Définition de ce type de pathologies
C'est une déformation fréquente des pieds, caractérisée par l'inclinaison des gros orteils vers les autres. Cette affection, souvent d'origine génétique, peut également résulter d'un chaussage inapproprié, de facteurs biomécaniques ou de troubles articulaires. La bosse saillante à la base des gros orteils, appelée oignon, résulte de la déviation des articulations métatarsophalangiennes.
Les symptômes incluent de fortes douleurs, des inflammation et du mal à marcher pour la personne affectée. La prise en charge médicale initiale implique de bien se chausser et porter des orthèses, mais en cas de sévérité et d'une évolution défavorable, des chirurgies, telles que les ostéotomies, peuvent être nécessaires. L'avocat spécialisé en droit de la santé doit maîtriser ces nuances médicales pour défendre les droits des victimes d'interventions chirurgicales liées à cette condition, en respectant les normes juridiques et éthiques en vigueur.
Causes de la maladie
L'hallux valgus trouve son origine dans une combinaison complexe de facteurs génétiques et environnementaux. La prédisposition génétique peut rendre certains individus plus susceptibles de développer cette déformation des pieds. Cependant, des chaussages mal adaptés par le biais d'une chaussure provoquant une pression excessive sur l'avant-pied peuvent aggraver la condition.
Les troubles biomécaniques, tels qu'une hypermobilité articulaire, contribuent également à la déviation des gros orteils. Par ailleurs, des affections comme l'arthrite rhumatoïde peuvent favoriser le développement de cette maladie du pied. Une compréhension approfondie de ces facteurs est cruciale pour évaluer la responsabilité médicale dans le contexte des chirurgies. Pour intenter une action contre un chirurgien, il est recommandé de bénéficier de la consultation d'un avocat spécialisé dans le droit de la santé.
Conséquences de cette catégorie de maladies
Les conséquences de la maladie vont au-delà de l'aspect esthétique, engendrant des implications fonctionnelles et médicales. La déviation peut entraîner une douleur persistante, une inflammation et une difficulté à bien se chausser. D'où l'importance de prendre RDV avec un médecin pour examiner la structure osseuse du pied et de la cheville.
La pression inégale sur les pieds peut provoquer des callosités et des cors. La mobilité articulaire compromise peut affecter la démarche, entraînant des déséquilibres posturaux et des douleurs dans d'autres articulations. Dans des cas avancés, la qualité de vie quotidienne peut être significativement altérée. Les conséquences sont essentielles à considérer lors de litiges médicaux, nécessitant une analyse précise des préjudices subis par la personne atteinte.
⟫ Opération hallux valgus durée arrêt travail : votre avocat vous répond !
Hallux valgus : symptômes, diagnostics et traitements
Symptômes de la maladie
Les symptômes de l'hallux valgus englobent une diversité de manifestations douloureuses et fonctionnelles. Les patients présentent souvent une bosse saillante à la base du gros orteil, résultant des déviations de l'articulation métatarsophalangienne. La douleur peut être ressentie à cet endroit, aggravée par la pression exercée par les chaussures.
Les inflammations, les rougeurs et la sensibilité au toucher sont fréquentes. Des callosités et des cors peuvent se former sur la peau, à la suite de la friction avec les chaussures. La déformation peut également affecter la démarche, entraînant des déséquilibres posturaux et des souffrances dans d'autres parties du pied.
Diagnostics de la pathologie
Le diagnostic de l'hallux valgus implique une évaluation minutieuse des symptômes cliniques et des antécédents médicaux des patients. L'examen physique se concentre sur l'observation visuelle de la déviation du gros orteil, la palpation de la bosse et l'analyse de la démarche.
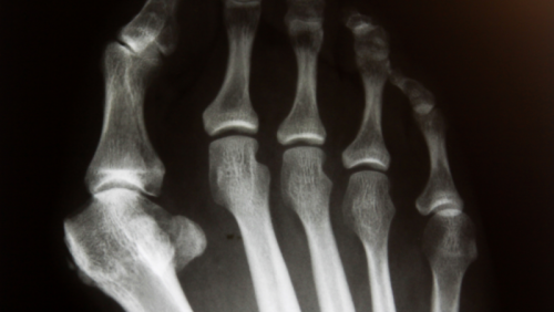
Des radiographies sont souvent nécessaires pour évaluer la gravité de la déformation, l'angle métatarsophalangien et d'éventuelles complications articulaires. Ces éléments contribuent à la classification de l'hallux valgus selon des critères spécifiques. La différenciation d'autres pathologies similaires est également cruciale. L'avocat spécialisé en responsabilité et expertise médicale doit comprendre ces procédures diagnostiques pour établir la base factuelle des litiges.
Traitements de la pathologie
Le traitement de l'hallux valgus varie en fonction de la gravité de la déformation et des symptômes. Des approches non chirurgicales comprennent de bien se chausser, de porter des orthèses avec ou sans pansement correcteur et de gérer la douleur par des anti-inflammatoires. Des exercices de renforcement musculaire pendant des semaines peuvent également être recommandés.
En cas d'échec des traitements conservateurs, une intervention chirurgicale telle que l'ostéotomie peut être envisagée pour corriger l'alignement du gros orteil. L'évaluation médicale préalable est essentielle pour déterminer la meilleure option. Dans des litiges médicaux, la compréhension détaillée de ces options thérapeutiques est cruciale pour évaluer la responsabilité médicale.
⟫ Opération hallux valgus ratée complication durée arrêt de travail et indemnisation
La chirurgie de l'hallux valgus
Dans le cadre de la chirurgie de l'hallux valgus, plusieurs aspects juridiques et médicaux doivent être pris en considération. Tout d'abord, il est impératif de s'assurer que le patient a été correctement informé des risques et des avantages de l'intervention. Conformément aux obligations légales en matière de consentement éclairé, le chirurgien doit fournir des informations détaillées sur la procédure, les alternatives possibles, ainsi que les conséquences postopératoires.
En ce qui concerne l'anesthésie, l'utilisation d'une anesthésie locorégionale doit être justifiée médicalement et le consentement spécifique du patient doit être obtenu. Il est crucial de respecter les normes éthiques et légales entourant les procédures médicales. La question de l'arrêt de travail suite à l'opération de l'hallux valgus est également un aspect à traiter avec rigueur. Le chirurgien doit établir clairement la nécessité de l'arrêt de travail, en prenant en compte la nature de l'intervention, une éventuelle complication post-opératoire et en conformité avec les normes médicales et légales.
En ce qui concerne la chirurgie percutanée ou invasive, le choix de la méthode doit être basé sur des critères médicaux objectifs. Le chirurgien doit être en mesure de justifier son choix en se référant à la littérature médicale, aux pratiques courantes, et en démontrant que la méthode choisie est la plus appropriée pour le cas spécifique des patients. Par ailleurs, la prise en charge post-opératoire, y compris la gestion des douleurs, est cruciale. Le respect des normes médicales en matière de soulagement de la douleur, ainsi que la communication transparente avec le patient sur les attentes post-opératoires, sont des éléments essentiels.
Intervention avocat droit médical pour chirurgie ratée et hallux valgus
L'intervention d'un avocat suite à une chirurgie ratée d'hallux valgus est une démarche cruciale pour protéger les droits du patient. L'avocat spécialisé en droit de la santé et accident corporel peut engager des actions légales en vue de réparer les préjudices subis par la victime. En premier lieu, l'avocat va effectuer une analyse détaillée du dossier médical, examinant les circonstances entourant la chirurgie ratée d'hallux valgus. Cela inclut la vérification des protocoles médicaux, des compétences du chirurgien, et du respect des normes éthiques et légales.
Une première consultation avec un avocat peut aider à formuler des demandes d'indemnisation en se basant sur les dommages physiques ou moraux et éventuellement financiers résultant de la chirurgie défaillante. Il doit démontrer clairement les fautes médicales ayant conduit à la situation problématique, en s'appuyant sur des expertises médicales et des références juridiques solides. La communication avec le client est primordiale, l'avocat doit expliquer clairement les étapes du processus juridique et les possibilités de réparation. En parallèle, il peut négocier avec les parties adverses pour parvenir à un règlement à l'amiable, tout en étant prêt à porter l'affaire devant les instances judiciaires si nécessaire.
En définitive, l'assistance d'un avocat dans le cas d'une chirurgie ratée d'hallux valgus vise à assurer que la victime obtienne une indemnisation juste et équitable, tout en promouvant la responsabilité médicale et le respect des normes juridiques en matière de soins de santé. Dans les cas plus avancés, la chirurgie peut être envisagée. Les procédures chirurgicales visent à réaligner l'orteil et à atténuer les symptômes douloureux. La chirurgie peut être réalisée de manière classique ou de manière percutanée, en fonction des caractéristiques individuelles de chacun.
L'anesthésie locale ou générale peut être utilisée pendant la chirurgie, et la période post-opératoire nécessite souvent une période de récupération et de réadaptation. Il est essentiel que le futur opéré soit pleinement informé des risques et des avantages de la chirurgie, et qu'il donne son consentement éclairé (apparition oedeme, etc.) conformément aux normes juridiques en vigueur. Adopter les bon gestes est capital.
Rôle du cabinet d'avocats en droit médical
Un cabinet d'avocats spécialisé en droit médical joue un rôle crucial dans la défense des droits de victimes de fautes médicales et dans le soutien des praticiens confrontés à des litiges.
Voici comment il intervient dans ce domaine :
Conseil juridique spécialisé
Un cabinet d'avocats en droit médical offre des conseils spécialisés pour tous. Pour la victime, il aide à comprendre les lois complexes qui régissent le domaine médical, fournit une évaluation honnête de leur cas et propose des stratégies pour obtenir une indemnisation équitable. Pour les praticiens, il conseille sur les obligations légales et les meilleures pratiques afin de réduire le risque de litiges.
Constitution et défense du dossier
Lorsqu'une faute médicale est présumée, l'équipe d'avocats enquête en profondeur pour constituer un dossier solide. Cela implique la collecte des dossiers médicaux, la consultation d'experts pour l'analyse des normes de soins, et l'établissement d'un lien entre l'erreur présumée et le préjudice subi. En collaboration avec ces experts, les avocats développent des arguments persuasifs qui démontrent la responsabilité ou réfutent les allégations.
Négociation et résolution des litiges
Les avocats en droit médical tentent souvent de résoudre les litiges à l'amiable par le biais de la médiation ou de la négociation. Cela permet d'éviter des procès coûteux et chronophages tout en garantissant une compensation juste. Si un accord n'est pas possible, le cabinet prépare ses clients pour le procès, présente les arguments devant le tribunal, et travaille pour obtenir un verdict favorable.
Prévention et formation
En outre, ces cabinets offrent des services de prévention et de formation. Ils aident les praticiens à mettre en place des protocoles conformes aux lois et aux normes actuelles pour minimiser les risques de faute et les litiges potentiels.
Ainsi, le rôle du cabinet d'avocats en droit médical est essentiel pour équilibrer les intérêts de tous, tout en favorisant des standards élevés dans la pratique médicale.
Pourquoi choisir MAITRE HUMBERT Patrice avocat en droit médical et dommage corporel à Salon de Provence !
Choisir Maître Humbert Patrice, avocat en droit médical et dommage corporel à Salon-de-Provence, offre de nombreux avantages à ceux qui recherchent une expertise juridique fiable et une représentation efficace.
Voici quelques raisons convaincantes pour lesquelles Maître Humbert Patrice se démarque :
Expertise spécialisée
Maître Humbert Patrice possède une expertise approfondie en droit médical et dommage corporel. Sa connaissance des lois et réglementations liées à la médecine, combinée à son expérience dans la gestion de litiges complexes, en fait un allié précieux pour tout le monde. Il comprend les subtilités des normes médicales et sait naviguer dans les méandres juridiques spécifiques à ce domaine.
Approche centrée sur le client
Il adopte une approche centrée sur le client, prenant le temps d'écouter les préoccupations et les besoins spécifiques de chacun. Maître Humbert sait qu'une relation de confiance entre l'avocat et le client est essentielle, et travaille donc à instaurer un climat de communication transparente. Chaque cas est traité individuellement, avec une stratégie adaptée à la situation unique du client.
Défense solide et stratégique
Maître Humbert Patrice excelle dans la constitution et la défense de dossiers complexes, que ce soit pour ceux cherchant à obtenir une compensation pour des erreurs médicales, ou pour les professionnels confrontés à des litiges. Il s'appuie sur une analyse rigoureuse des faits et collabore étroitement avec des experts médicaux pour bâtir une défense solide, que ce soit dans des négociations à l'amiable ou devant les tribunaux.
Résolution efficace des litiges
Sa maîtrise des différentes stratégies de résolution des conflits permet souvent d'obtenir des résultats favorables sans passer par un procès coûteux. En privilégiant la médiation et la négociation, il aide les clients à résoudre leurs litiges rapidement et de manière satisfaisante.
Engagement envers la justice
Maître Humbert Patrice est passionné par la défense des droits de ses clients et travaille sans relâche pour obtenir la meilleure résolution possible dans chaque affaire. Son engagement envers la justice se traduit par une volonté constante de garantir que les victimes soient indemnisées équitablement et que les praticiens bénéficient d'une défense adéquate.
En somme, Maître Humbert Patrice à Salon-de-Provence est un choix judicieux pour ceux qui recherchent un avocat compétent, dévoué, et spécialisé en droit médical et dommage corporel. Ses compétences, son approche personnalisée, et sa stratégie orientée vers les résultats en font un allié essentiel dans des affaires souvent complexes et sensibles.
Quelques termes à connaître !
Oignons du pied : L'oignon du pied ou hallux valgus, est une déviation du premier orteil vers les autres orteils, formant une bosse à la base. Causé par des facteurs génétiques ou environnementaux, il peut provoquer douleur et gêne. Le traitement chirurgical est l'une des meilleures techniques !
Percutanée : La correction percutanée des oignons du pied implique des interventions sans incisions majeures, utilisant une technique mini-invasive pour réaligner les articulations métatarsophalangienne, réduisant le risque et favorisant la récupération rapide.
Chaussage postopératoire : Le choix approprié d'une chaussure postopératoire est crucial pour la gestion des oignons du pied après un traitement chirurgical. Des chaussures adaptées favorisent la guérison et minimisent les complications comme l'oedeme, assurant une récupération optimale.
Métartasien : Le métatarsien est l'os long situé dans le pied, entre les os du tarse et les phalanges. Au nombre de cinq dans chaque pied, chaque métatarsien contribue à la structure du pied. Le métartasien assure un bon soutien de la cheville.
Avocat droit de la santé : L'avocat en droit de la santé défend en premier les droits des victimes face aux professionnels de la santé tels que le chirurgien. Il intervient dans des litiges médicaux, réglementations sanitaires, responsabilité médicale et éthique médicale.
ostéotomie : C'est une opération de chirurgie consistant à couper et réaligner une partie osseuse, souvent réalisée dans le contexte de l'hallux valgus pour corriger la déviation des articulations métatarsophalangiennes du pied. La prise de RDV est parfois inévitable pour un traitement efficace.
Opération technique invasive : Cela implique l'introduction d'instruments médicaux à l'intérieur du corps pour traiter une condition. Cette procédure, souvent par traitement chirurgical, nécessite des interventions directes dans les tissus ou organes.
Cette actualité est associée aux catégories suivantes : Accidents et responsabilité médicale
- octobre 2025
- août 2025
- juillet 2025
Votre guide gratuit !
Recevez votre guide au format PDF gratuitement par mail
Devis en ligne



