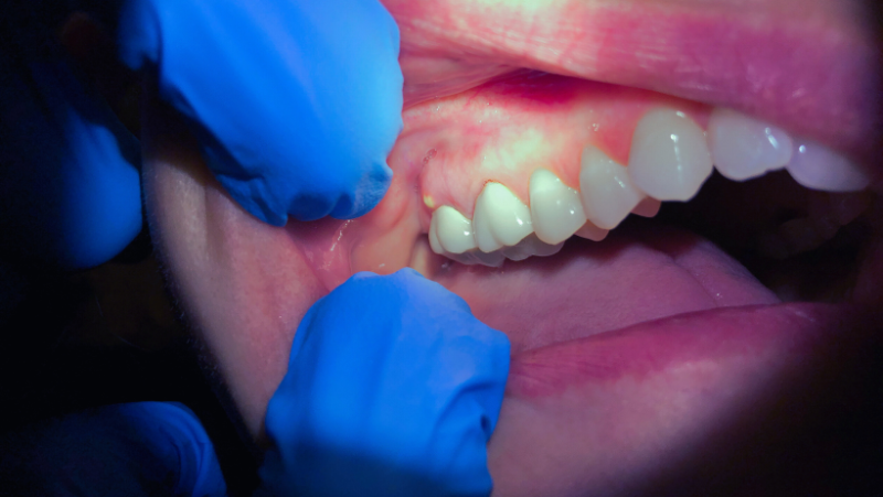
Rage de dent : comment soulager une douleur dentaire
Face aux rages de dent, une douleur dentaire aiguë souvent causée par une pulpite, des inflammations de la pulpe dentaire où le nerf est impliqué, il est impératif d'agir rapidement. Les symptômes, tels que la douleur intense, peuvent signaler une carie avancée, voire un abcès dentaire. Dans cette situation, les consultations urgentes de dentistes près de Marseille ou d'un médecin généraliste sont incontournables.
Un traitement comme l'utilisation d'huile maison et autres remèdes naturels, des produits dentaires spécifiques ou l'application de froid peuvent temporairement calmer la douleur, mais ne remplacent pas une consultation médicale approfondie. La prévention des caries reste la meilleure solution pour éviter de telles urgences telles que l'inflammation aux dents.
En cas de signes persistants, il est recommandé de consulter rapidement un professionnel de la santé dentaire pour un diagnostic précis et un traitement approprié, évitant ainsi le risque de nécrose dentaire et de complications graves.
Rages de dent et troubles dentaires
La rage de dent, souvent due à des pulpites résultant de la progression d'une carie non traitée, peut évoluer vers la formation d'un abcès dans la région gingivale. Cette condition douloureuse résulte des inflammations pulpaires dentaires, affectant le nerf. Consulter immédiatement un cabinet dentiste ou toute autre structure médicale est essentielle pour diagnostiquer et traiter efficacement ces problèmes, évitant ainsi des complications graves et soulageant les souffrances persistantes pouvant irradier jusqu'au sinus.
Rage de dents et pulpites
La rage de dents, fréquemment liée à une pulpite, constitue une mauvaise expérience résultant de l'inflammation pulpaire, où les nerfs des dents sont affectés. Cette condition habituellement causée par la progression non traitée d'une dent attaquée par des bactéries peut évoluer vers des complications graves. Les signes incluent des douleurs intenses, une sensibilité accrue, voire des pulsations douloureuses. Il est impératif de prendre RDV rapidement chez un médecin généraliste, un cabinet de dentiste ou un chirurgien-dentiste pour des diagnostics et des traitements précis.
Les soins peuvent inclure des interventions telles qu'un traitement de canal, l'extraction dentaire ou des antibiotiques pour traiter d'éventuelles infections. En outre, des mesures préventives, telles qu'une bonne hygiène bucco-dentaire et des visites régulières chez le dentiste, sont essentielles pour éviter le développement de pulpite et autres. La gestion efficace de la rage de dents nécessite une approche rapide et professionnelle pour soulager les douleurs dentaires et prévenir des complications plus graves au contact des aliments.
Rage de dents et caries
La rage de dent, phénomène douloureux souvent intrinsèquement lié à une carie dentaire, représente des urgences sérieuses avec la prise rapide de remèdes. C'est une détérioration de l'émail due à une bactérie, peut évoluer silencieusement, atteignant la pulpe et provoquant des inflammations douloureuses. Les signes des rages de dent incluent une douleur aiguë au niveau des gencives, une sensibilité accrue et parfois des pulsations qui font mal.
Les consultations immédiates d'un chirurgien-dentiste est impérative pour établir des diagnostics et évaluer l'étendue de la pulpite. Les options peuvent inclure des obturations comme des soins de canal pour la pulpite avancée, voire l'extraction dentaire dans les cas graves. La prévention des dents et de la gencive demeure cruciale. La gestion efficace des rages de dent nécessite une approche rapide avec des produits spécifiques pour les dents, l'émail et les gencives. Cela a pour but de soulager le mal et traiter la cause profonde.
Rages de dents et abcès
La rage de dent, souvent associée à un abcès dentaire, représente une situation d'urgence sérieuse. Il se forme lorsque les infections liées à une carie atteignent la pulpe, provoquant une accumulation de pus. Les symptômes incluent une douleur intense en mastiquant des aliments, un gonflement des gencives et parfois une fièvre. Une consultation immédiate chez le médecin généraliste est impérative pour le diagnostiquer et évaluer son étendue.
Les options peuvent inclure l'application d'huile de clou de girofle, des soins de canal, des antibiotiques ou pour traiter l'infection, voire de temps en temps une extraction. La prévention, à travers une bonne hygiène au niveau des dents ainsi que de la bouche et des soins réguliers à la gencive, demeure essentielle. Ignorer ce trouble peut conduire à des complications graves, y compris la propagation des infections à d'autres parties du corps. La gestion efficace sur la durée des rages de dent liée à cette pathologie nécessite une intervention rapide et un traitement spécialisé.
Comment soulager une douleur dentaire ?
Cela nécessite une approche ciblée. En premier lieu, l'identification des causes sous-jacentes, souvent liées à des problèmes tels que les caries et les inflammations pulpaires est capitale. L'utilisation d'analgésiques en vente libre, conformément aux recommandations médicales, peut temporairement atténuer la souffrance, mais ne remplace pas des consultations professionnelles et encore moins pour une urgence.
Des méthodes telles que l'application locale de glace ou huile de clou de girofle sur la zone qui fait mal peuvent également apporter un soulagement temporaire tout en évitant l'évolution vers une nécrose de dent. Se laver les dents régulièrement joue un rôle préventif essentiel pour éviter tout risque en lien avec la santé bucco-dentaire. Rincer la bouche avec de l'eau salée peut aider à calmer l'inflammation des gencives. L'évitement de substances irritantes comme le tabac, boisson chaude et aliment froid peut par ailleurs atténuer le mal de dent.
Cependant, il est impératif de prendre RDV rapidement avec un médecin ou dentiste pour diagnostiquer précisément les causes des douleurs et obtenir un soin approprié. Ignorer un mal de dent peut entraîner des complications graves au sinus, soulignant l'importance d'une approche équilibrée entre les mesures d'auto-assistance ainsi que de conseils et d'expertise professionnelle.
MAITRE HUMBERT, avocat du droit médical en erreur de dentisterie au cabinet d'avocats LEXVOX peut vous aider à vous faire indemniser en cas de mauvais remèdes ou traitements, d'infection nosocomiale ou encore d'aléa thérapeutique ! N'hésitez pas à nous contacter pour des conseils supplémentaires ! Notre défense juridique est l'alternative idéale à un litige avec praticien (médecin, chirurgien, anesthésiste, etc.) ou une structure médicale.
Cette actualité est associée aux catégories suivantes : Accidents et responsabilité médicale
- octobre 2025
- août 2025
- juillet 2025
Votre guide gratuit !
Recevez votre guide au format PDF gratuitement par mail
Devis en ligne





